当院では、年間2,500~3,000件の大腸カメラ検査(下部消化管内視鏡検査)を行っております。大腸カメラの検査範囲はおおむね直腸から盲腸までです。
拡大内視鏡を導入しておりポリープなどを拡大観察することは、良性のポリープであるか、悪性のポリープであるかを判断するのに有用です。
悪性腫瘍である大腸がんは早期発見・早期治療を行うことが重要です。
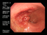
拡大内視鏡の実際例

直腸、LST(Mixed Granular)40×30mm
carcinoma in adenoma , m , lyo , vo


pit pattern V I 型